-
LIVE OFFICE HOURS and Q&A with Mintrone & Fabbri
Office_Hours_Prosthetic_Online_Course_20200520
-
Advantages of the New Technologies in Prosthetic Dentistry | Dr Mintrone
20-0415_Mintrone_Lecture_WRAP
-
LIVE OFFICE HOURS and Q&A with Mintrone & Fabbri
Office_Hours_Prosthetic_Online_Course_20200429
-
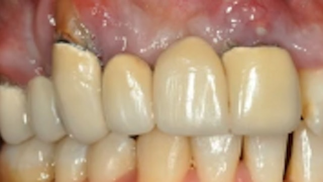
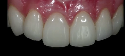
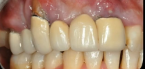
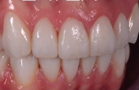
Prosthetic Rehabilitation on Natural Teeth
20-0409_ProsthoOnlineWelcome
-
Conservative Rehabilitation of Abrasion & Erosion Cases | Dr Didier Dietschi
147-00_Video_BCOVE_H2646980
-
A Simplified Layering Method for Direct Posterior Restoration | Dr N.Takahashi
319-00_Takahashi_Lecture_VIDDLER_H264
-
Adhesive & Esthetic Dentistry Minimally Invasive Procedures 01 | Dr O.Scopin
266-00_Scopin_Lecture_01_BCOVE_H264
-
Introduction to Prosthetic Rehabilitation on Natural Teeth
20-0416_CourseIntroduction_ZIP_FIXED_w_14_plus
-
Modern Approach to Tooth Preparation: Full Enamel Concept | Dr Giacomo Fabbri
20-0409_Fabbri_Prostho_WRAP
-
CLINICAL VIDEO Previsualization in Esthetic Dentistry| Dr Francesco Minrone
CV-47_Mintrone_BCOVE_H264
-
Adhesive & Esthetic Dentistry – Minimally Invasive Procedures 04 | Dr. Scopin
269-00_Scopin_Lecture_04_BCOVE_H264
-
Perio-prosthetic Considerations Around Natural Teeth | Dr Eric van Dooren
048-00_van_Dooren_BCOVE_H264
-
The Role of Orthodontist - Dr Fabbri Minimally Invasive Dentistry Dr Mintrone
Office_Hours_Prosthetic_Online_Course_20200506
The Role of the Orthodontist in the Multidisciplinary Approach to Prosthetic Therapy with Dr Fabbri | Minimally Invasive Dentistry in the Full Mouth Rehab with Dr Mintrone
-
CLINICAL VIDEO Tunneling Procedure & Connective Tissue Grafting | Mintrone
CAT# CV-066
Periodontal root-coverage using the tunneling procedure, connective tissue grafting & emdogain growth factor
by Dr Francesco Mintrone
---
--> also listed as CV-66 -
LIVE OFFICE HOURS and Q&A with Mintrone & Fabbri
Office_Hours_Prosthetic_Online_Course_20200422
-
Fundamentals, Materials & New Trends with Mintrone & Fabbri
Office_Hours_Prosthetic_Online_Course_20200513
-
Minimally Invasive Aesthetic Dentistry & Invisalign | Dr Monik Vasant
327-00_Vasant_Video_VIDDLER_H264
-
Clinical Strategies on Integration and Reliability of Prosthetic Outcome,Fabbri
281-00_Fabbri_Lecture_BCOVE_H264
-
Optimal Prosthetic Planning – Esthetic & Function | Dr Francesco Mintrone
285-00_mintrone_lecture_viddler_h264
-
The Esthetic Connection: Smile Design Communication | Dr Galip Gurel
244-00_Gurel_Lecture_BCOVE_H264