CLINICAL VIDEO Tunnel technique in the treatment of a single gingival recession
Kahn, Sergio
•
13m
CAT#CV-113
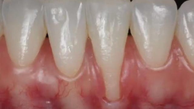
Tunnel technique in the treatment of a single gingival recession defect
Dr. Sergio Kahn
Tunnel soft tissue technique has gained popularity among clinicians for its promising clinical and esthetic results in treating gingival recession defects.
This clinical video performed by Dr Sergio Kahn shows the step-for-step procedure of the gingival tunnel technique around an upper canine with a gingival recession with micro surgical instruments, EMDG growth factor, palatal soft tissue graft, and a coronal flap advancement with micro Resorbable sutures. The final result was enhanced by the careful split-thickness flap preparation and microsurgical approach in the periodontal recession defect.
Up Next in Kahn, Sergio
-
CLINICAL VIDEO Correction of a Gummy ...
CAT# CV-123
Correction of a Gummy Smile With a Combination of Crown Lengthening, Lip Repositioning and Biofiller Augmentation Surgery
By Dr Sergio Kahn
----
This video by Dr Sergio Kahn demonstrates a treatment of a patient with a gummy smile combining a periodontal crown lengthening procedure an... -
CLINICAL VIDEO Treatment of a Mandibu...
CAT# CV-122
Treatment of a Mandibular Anterior Tooth with Severe Gingival Recession
By Dr Sergio Kahn
----
Explore all of gIDE's Programs at gidedental.com -
CLINICAL VIDEO Root coverage - The Us...
CAT# CV-105
Root coverage - The Use of Connective Tissue and Emdogain in the Treatment of a Severe Gingival Recession
Dr Sergio Kahn, PhDGingival recessions are common mucogingival conditions around teeth. Root coverage procedures are indicated for aesthetic purposes, reduction of hypersensitiv...
1 Comment