Kahn, Sergio

Share
  • Gummy Smile Correction - From Analog to Digital

    CAT# LOD-365-00
    Gummy Smile Correction - From Analog to Digital
    Dr Sergio Kahn
    ---
    Explore all of gIDE's Programs at gidedental.com

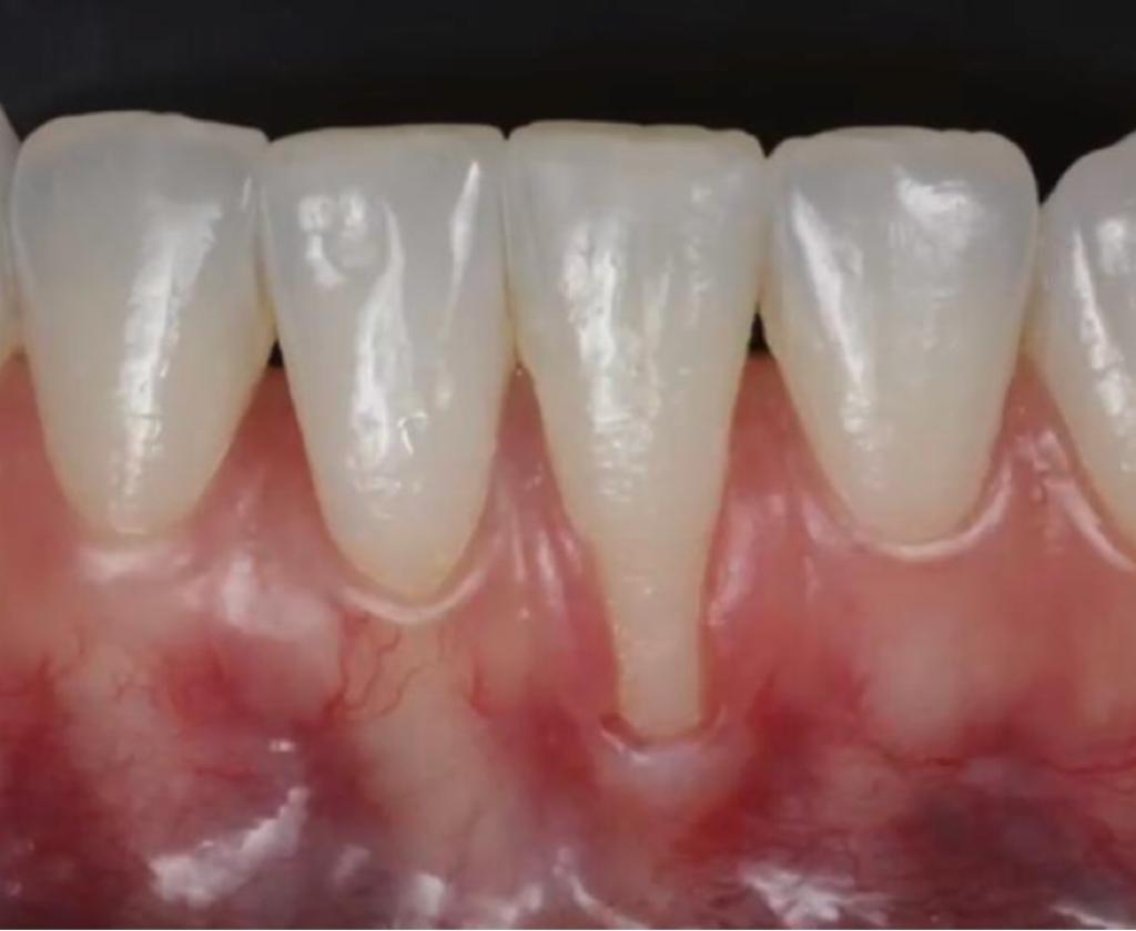
  • CLINICAL VIDEO Tunneling Technique for Dual Lower Gingival Root Recessions

    CAT# CV-129
    Advanced Tunneling Technique for Treating Dual Lower Gingival Root Recessions
    by Dr. Sergio Kahn
    ----
    Gingival recession, a common periodontal condition characterized by the exposure of tooth roots due to gum tissue loss, poses aesthetic concerns and increases susceptibility to root c...

  • CLINICAL VIDEO The Periodontal Tunnel Technique for Management of Multiple Upper

    CAT# CV-128
    The Periodontal Tunnel Technique for Management of Multiple Upper Gingival Recessions
    By Dr Sergio Kahn
    ----
    The desire for improved esthetics has increased tremendously over the years. Periodontal plastic surgery and Root coverage procedures focuses on regenerative procedures designe...

  • CLINICAL VIDEO Tunnel technique in the treatment of a single gingival recession

    CAT#CV-113
    Tunnel technique in the treatment of a single gingival recession defect
    Dr. Sergio Kahn

    Tunnel soft tissue technique has gained popularity among clinicians for its promising clinical and esthetic results in treating gingival recession defects.

    This clinical video performed by Dr Ser...

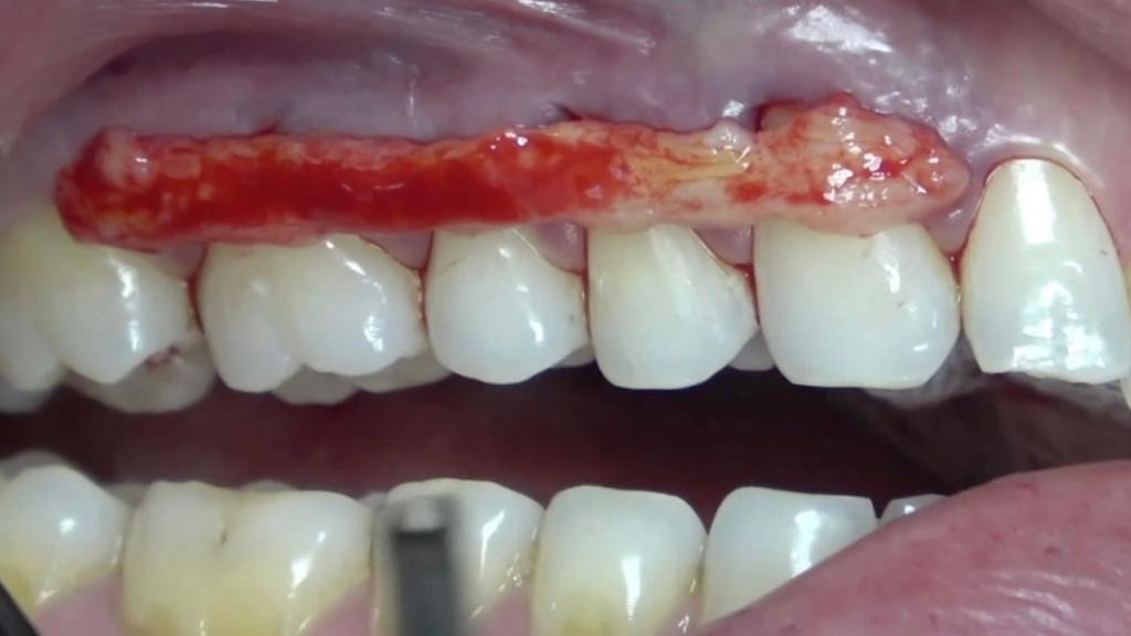
  • CLINICAL VIDEO Correction of a Gummy Smile With a Combination of Crown

    CAT# CV-123
    Correction of a Gummy Smile With a Combination of Crown Lengthening, Lip Repositioning and Biofiller Augmentation Surgery
    By Dr Sergio Kahn
    ----
    This video by Dr Sergio Kahn demonstrates a treatment of a patient with a gummy smile combining a periodontal crown lengthening procedure an...

  • CLINICAL VIDEO Treatment of a Mandibular Anterior Tooth with Severe Gingival Rec

    CAT# CV-122
    Treatment of a Mandibular Anterior Tooth with Severe Gingival Recession
    By Dr Sergio Kahn
    ----
    Explore all of gIDE's Programs at gidedental.com

  • CLINICAL VIDEO Root coverage - The Use of Connective Tissue and Emdogain

    CAT# CV-105
    Root coverage - The Use of Connective Tissue and Emdogain in the Treatment of a Severe Gingival Recession
    Dr Sergio Kahn, PhD

    Gingival recessions are common mucogingival conditions around teeth. Root coverage procedures are indicated for aesthetic purposes, reduction of hypersensitiv...