Jovanovic, Sascha A
-
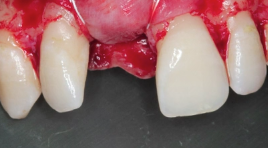
UNCUT! Immediate Tooth Replacement with BLX Implant, Socket Xenograft
CAT# ULS-002
UNCUT! Live Surgery - Immediate Tooth Replacement with BLX Implant, Socket Xenograft, ‘Neck Pillow’ Soft Tissue Graft & Digital Workflow
Dr Sascha A Jovanovic
---
In this comprehensive new surgical video, Dr. Sascha A. Jovanovic, Periodontist Master Clinician from Los Angeles, CA pre... -
CLINICAL VIDEO Placing Tapered Implants in a Thin Anterior Maxilla Precisely
CAT# CV-138
Placing Tapered Implants in a Thin Anterior Maxilla Precisely and Efficiently
Dr Sascha A Jovanovic
----
In this clinical video by Dr Sascha A. Jovanovic, learn a step-by-step approach to placing dental implants in the challenging thin anterior maxilla. Discover the digital planning w... -
CLINICAL VIDEO Novel approach to trim a membrane with a 3D-printed jaw model
CAT# CV-137
Novel approach to Customize and Trim a TR-PTFE Membrane Using a 3D-Printed Upper Jaw Model
Dr Sascha A Jovanovic & Prof Massimo Simion
----
This clinical video presents a novel approach by Drs. Jovanovic and Simion for precise and sterile trimming of TR-PTFE membranes prior to guided ... -
PTFE Membrane & Bone Tack Removal
CAT# MC-0101
PTFE Membrane and Bone Tack Removal after 9 Month Healing
by Dr Sascha A Jovanovic
----
Explore all of gIDE's Programs at gidedental.com -
Periosteal Brush & Release
CAT# MC-0102
Periosteal Brush & Release Technique for Flap Advancement in the Anterior Maxilla
by Dr Sascha A Jovanovic
----
Explore all of gIDE's Programs at gidedental.com -
Passive Flap Closure with Horizontal Mattress & PTFE Sutures
CAT# MC-0103
Passive Flap Closure of Implant Sites with Horizontal Mattress and PTFE sutures
by Dr Sascha A Jovanovic
----
Explore all of gIDE's Programs at gidedental.com -
CLINICAL VIDEO Removal of an Integrated Bicon Implant using Piezosurgery with a
CAT# CV-134
Removal of an Integrated Bicon Implant using Piezosurgery with a Simultaneous Staged GBR Procedure
by Dr Sascha A Jovanovic
----
A new clinical video release by Dr. Sascha Jovanovic demonstrating the surgical removal of a 20-year-long integrated Bicon dental implant that was unrestora... -
CLINICAL VIDEO Autogenous Ramus Bone Harvest Using a Bone Scraper
CAT# CV-133
Autogenous Ramus Bone Harvest Using a Bone Scraper
By Prof Massimo Simion & Dr Sascha A Jovanovic
----
In their latest clinical video Prof. Massimo Simion and Dr. Sascha Jovanovic (renowned figures in oral surgery) unveil a groundbreaking and minimal invasive technique. With over thre... -
CLINICAL VIDEO Uncovering and Temporization of 2 Anterior Implants with Mucoging
CAT# CV-131
Uncovering and Temporization of 2 Anterior Implants with Mucogingival Surgery for optimal soft tissue healing
by Dr Sascha A Jovanovic
----
In this dental video by Dr Jovanovic a meticulous procedure involving the uncovering of two anterior implants with a mucogingival technique emplo... -
CLINICAL VIDEO Stackable Guides for a Full Arch BLX Implant Case with an Immedia
CAT# CV-117
The Use of Stackable Guides for a Full Arch Treatment with 4 BLX Implants and an Immediate Printed Hybrid Prosthesis
by Dr. Sascha A. Jovanovic
----
Full-arch fixed implant treatment on 4 to 6 implants has shown predictable long term success with submerged, one-stage and immediate loa... -
CLINICAL VIDEO Full Arch Immediate Implant Treatment with 3D Printed Hybrid Pros
CAT# CV-102
Full Arch Immediate Implant Treatment with 4 BLX Straumann Implants with 3D Printed Hybrid Prostheses in a Failed Lower Dentition Case
Dr. Sascha A. Jovanovic
----
Explore all of gIDE's Programs at gidedental.com -
CLINICAL VIDEO NARRATED Immediate Tooth Replacement with Simultaneous Socket and
CAT# CV-095-L
NARRATED Immediate Tooth Replacement with Simultaneous Socket and Soft Tissue Graft with Narration
Dr. Sascha A. Jovanovic
----
Explore all of gIDE's Programs at gidedental.com
---
--> also listed as CV-95-L -
CLINICAL VIDEO Immediate Tooth Replacement with Simultaneous Socket and Soft Tis
CAT# CV-095
Immediate Tooth Replacement with Simultaneous Socket and Soft Tissue Graft
Dr. Sascha A. Jovanovic
----
Explore all of gIDE's Programs at gidedental.com
---
--> also listed as CV-95 -
CLINICAL VIDEO NARRATED Staged Horizontal Ridge Augmentation using GBR in a Seve
CAT# CV-094-L
NARRATED Staged Horizontal Ridge Augmentation using GBR in a Severely Resorbed Anterior Mandible
Dr. Sascha A. Jovanovic
----
Explore all of gIDE's Programs at gidedental.com
---
--> also listed as CV-94-L -
CLINICAL VIDEO Staged Horizontal Ridge Augmentation using GBR in a Severely Res
CAT# CV-094
Staged Horizontal Ridge Augmentation using GBR in a Severely Resorbed Anterior Mandible
Dr. Sascha A. Jovanovic
----
Explore all of gIDE's Programs at gidedental.com
---
--> also listed as CV-94 -
CLINICAL VIDEO Sterile Preparation of the Operating Room
CAT# CV-091
Sterile Preparation of the Operating Room
Dr. Sascha A. Jovanovic
----
Explore all of gIDE's Programs at gidedental.com
---
--> also listed as CV-91 -
CLINICAL VIDEO Esthetic Implant Placement with Simultaneous GBR and Soft Tissue
CAT# CV-090
Esthetic Implant Placement with Simultaneous GBR and Soft Tissue Graft to Treat a Partially Failed Previous Bone Graft
Dr. Sascha A. Jovanovic
----
Explore all of gIDE's Programs at gidedental.com
---
--> also listed as CV-90 -
CLINICAL VIDEO Anterior Implant Placement with Simultaneous GBR using Autogenous
CAT# CV-085
Anterior Implant Placement with Simultaneous GBR using Autogenous/Xenograft and Native Collagen Membrane
Dr. Sascha A. Jovanovic
----
Explore all of gIDE's Programs at gidedental.com
---
--> also listed as CV-85 -
CLINICAL VIDEO GBR Membrane Stabilization using Internal Mattress Sling Suture
CAT# CV-084
GBR Membrane Stabilization using Internal Mattress Sling Suture
Dr. Sascha A. Jovanovic
----
Explore all of gIDE's Programs at gidedental.com
---
--> also listed as CV-84 -
CLINICAL VIDEO Staged Horizontal GBR and Soft Tissue Augmentation for Anterior S
CAT# CV-083
Staged Horizontal GBR and Soft Tissue Augmentation for Anterior Single Tooth Implant Therapy
Dr. Sascha A. Jovanovic
----
Explore all of gIDE's Programs at gidedental.com
---
--> also listed as CV-83 -
CLINICAL VIDEO Single Tooth Esthetic Implant Replacement - From Diagno
CAT# CV-080
Single Tooth Esthetic Implant Replacement - From Diagnosis to Surgery to Final Restoration
Dr. Francesco Mintrone
Dr. Sascha A. Jovanovic
----
Explore all of gIDE's Programs at gidedental.com
---
--> also listed as CV-80 -
CLINICAL VIDEO Free Gingival Harvest and Uncovering of Two Anterior Implants wit
CAT# CV-077
Free Gingival Harvest and Uncovering of Two Anterior Implants with Immediate Temporization
Dr. Sascha A. Jovanovic
----
Explore all of gIDE's Programs at gidedental.com
---
--> also listed as CV-77 -
CLINICAL VIDEO Sub-Epithelial Connective Tissue Harvest to Boost Gingiv
CAT# CV-075
Sub-Epithelial Connective Tissue Harvest to Boost Gingival Biotype for Anterior Single Tooth Implant
Dr. Sascha A. Jovanovic
----
CE CREDITS: 0
(EXAM FOR MEMBERS can be requested at [email protected]. For Subject, put "Exam for CV-075")
----
Explore all of gIDE's Programs at ... -
CLINICAL VIDEO Immediate Tooth Replacement of Failing Tooth #11
CAT# CV-067
Immediate Tooth Replacement of Failing Tooth #11
Dr. Sascha A. Jovanovic
----
Explore all of gIDE's Programs at gidedental.com
---
--> also listed as CV-67