GENERAL
-
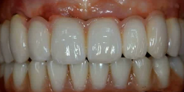
CLINICAL VIDEO Immediate 3D Designed and Printed Implant Temporization at
CAT# CV-109
Immediate 3D Designed and Printed Implant Temporization at Uncovering of an Anterior Re-Treated Implant Site
By Dr Sascha JovanovicThis clinical video by Dr Sascha Jovanovic presents the results of a novel digital technique to capture the three dimensional position of the implant ...
-
CLINICAL VIDEO Dental Photography: Taking great intraoral photos using an SLR Ca
CAT# CV-043
Dental Photography: Taking great intraoral photos using an SLR Camera
Dr. Jim Dunn
Dr. Richard Young
----
Explore all of gIDE's Programs at gidedental.com
---
--> also listed as CV-43 -
CLINICAL VIDEO Posterior Crown Restorations, Posterior Inlay Restorations & Easy
CAT# CV-041
Posterior Crown Restorations, Posterior Inlay Restorations & Easy and Fast Gingiva Retraction
Dr. Herbert Dumfahrt
----
Explore all of gIDE's Programs at gidedental.com
---
--> also listed as CV-41 -
A-Z in Restorative Implant Dentistry (Case 4) - Maxillary All-on-4 Hybrid
CAT# LOD-236-00
A-Z in Restorative Implant Dentistry (Case 4) - Maxillary All-on-4 Hybrid
Dr. George Perri
----
Explore all of gIDE's Programs at gidedental.com -
A-Z in Restorative Implant Dentistry (Case 3) - Maxillary Full Arch Overdenture
CAT# LOD-235-00
A-Z in Restorative Implant Dentistry (Case 3) - Maxillary Full Arch Overdenture | Mandibular Hybrid Bridge
Dr. George Perri
----
Explore all of gIDE's Programs at gidedental.com -
A-Z in Restorative Implant Dentistry (Case 2) - Maxillary Full Arch PFM Bridge
CAT# LOD-234-00
A-Z in Restorative Implant Dentistry (Case 2) - Maxillary Full Arch PFM Bridge | Mandibular Hybrid Bridge | Immediate Implant Supported Provisional | Patient Management
Dr. George Perri
----
Explore all of gIDE's Programs at gidedental.com -
A-Z in Restorative Implant Dentistry (Case 1) - Maxillary Full Arch PFM Bridge
CAT# LOD-233-00
A-Z in Restorative Implant Dentistry (Case 1) - Maxillary Full Arch PFM Bridge | Mandibular Hybrid Bridge | Patient Management
Dr. George Perri
----
Explore all of gIDE's Programs at gidedental.com -
Are Single Tooth Implants Right for Your Practice?
CAT# LOD-017-02
Are Single Tooth Implants Right for Your Practice?
Dr. Jack Hahn
----
Explore all of gIDE's Programs at gidedental.com -
Office Set-up and Case Selection
CAT# LOD-002-01
Office Set-up and Case Selection
Dr. George Perri
----
CE CREDITS: 2
(EXAM FOR MEMBERS can be requested at [email protected]. For Subject, put "Exam for LOD-002-01")
----
Explore all of gIDE's Programs at gidedental.com
----
Release Date: 07/19/2006
Reviewed D... -
Office set-up and case selection from a surgical perspective
CAT# LOD-002-02
Office set-up and case selection from a surgical perspective
Dr. Sascha A. Jovanovic
----
CE CREDITS: 2
(EXAM FOR MEMBERS can be requested at [email protected]. For Subject, put "Exam for LOD-002-02")
----
Explore all of gIDE's Programs at gidedental.com
----
R... -
Posterior Implant Placement from a Restorative Perspective
CAT# LOD-002-03
Posterior Implant Placement from a Restorative Perspective
Dr. George Perri
----
CE CREDITS: 2
(EXAM FOR MEMBERS can be requested at [email protected]. For Subject, put "Exam for LOD-002-03")
----
Explore all of gIDE's Programs at gidedental.com
----
Release Da... -
Posterior Implant Placement from a surgical perspective
CAT# LOD-002-04
Posterior Implant Placement from a surgical perspective
Dr. Sascha A. Jovanovic
----
CE CREDITS: 2
(EXAM FOR MEMBERS can be requested at [email protected]. For Subject, put "Exam for LOD-002-04")
----
Explore all of gIDE's Programs at gidedental.com
----
Releas... -
Anterior Implant Restoration: Beginning Considerations and Issues
CAT# LOD-002-05
Anterior Implant Restoration: Beginning Considerations and Issues
Dr. George Perri
----
CE CREDITS: 2
(EXAM FOR MEMBERS can be requested at [email protected]. For Subject, put "Exam for LOD-002-05")
----
Explore all of gIDE's Programs at gidedental.com
----
Rel... -
Anterior surgical Implant Placement: Single missing tooth
CAT# LOD-002-06
Anterior surgical Implant Placement: Single missing tooth
Dr. Sascha A. Jovanovic
----
CE CREDITS: 2
(EXAM FOR MEMBERS can be requested at [email protected]. For Subject, put "Exam for LOD-002-06")
----
Explore all of gIDE's Programs at gidedental.com
----
Rele... -
Anterior Implant Restoration: Advanced Concerns
CAT# LOD-002-07
Anterior Implant Restoration: Advanced Concerns
Dr. George Perri
----
CE CREDITS: 2
(EXAM FOR MEMBERS can be requested at [email protected]. For Subject, put "Exam for LOD-002-07")
----
Explore all of gIDE's Programs at gidedental.com
----
Release Date: 07/19/2... -
Anterior surgical Implant placement: Multiple Anterior Teeth
CAT# LOD-002-08
Anterior surgical Implant placement: Multiple Anterior Teeth
Dr. Sascha A. Jovanovic
----
CE CREDITS: 2
(EXAM FOR MEMBERS can be requested at [email protected]. For Subject, put "Exam for LOD-002-08")
----
Explore all of gIDE's Programs at gidedental.com
----
R... -
Immediate Tooth Replacement and Restorative challenges
CAT# LOD-002-09
Immediate Tooth Replacement and Restorative challenges
Dr. George Perri
----
CE CREDITS: 2
(EXAM FOR MEMBERS can be requested at [email protected]. For Subject, put "Exam for LOD-002-09")
----
Explore all of gIDE's Programs at gidedental.com
----
Release Date: ... -
Immediate tooth replacement and surgical challenges
CAT# LOD-002-10
Immediate tooth replacement and surgical challenges
Dr. Sascha A. Jovanovic
----
CE CREDITS: 2
(EXAM FOR MEMBERS can be requested at [email protected]. For Subject, put "Exam for LOD-002-10")
----
Explore all of gIDE's Programs at gidedental.com
----
Release Da... -
The Edentulous Jaw Restoration: An evaluation of different restorative options
CAT# LOD-002-11
The Edentulous Jaw Restoration: An evaluation of different restorative options
Dr. George Perri
----
CE CREDITS: 2
(EXAM FOR MEMBERS can be requested at [email protected]. For Subject, put "Exam for LOD-002-11")
----
Explore all of gIDE's Programs at gidedental.com... -
Edentulous Jaw and Different Implant Treatment Options
CAT# LOD-002-12
Edentulous Jaw and Different Implant Treatment Options
Dr. Sascha A. Jovanovic
----
CE CREDITS: 2
(EXAM FOR MEMBERS can be requested at [email protected]. For Subject, put "Exam for LOD-002-12")
----
Explore all of gIDE's Programs at gidedental.com
----
Release... -
Digital Photography
CAT# LOD-003-11
Digital Photography
Dr. Brian P. LeSage
----
CE CREDITS: 2
(EXAM FOR MEMBERS can be requested at [email protected]. For Subject, put "Exam for LOD-003-11")
----
Explore all of gIDE's Programs at gidedental.com
----
Release Date: 11/14/2005
Reviewed Date: 01/03... -
How to successfully evaluate and present cases, including determining fees; A p
CAT# LOD-022-01
How to successfully evaluate and present cases, including determining fees; A proven protocol
Dr. Sam Strong
----
CE CREDITS: 2
(EXAM FOR MEMBERS can be requested at [email protected]. For Subject, put "Exam for LOD-022-01")
----
Explore all of gIDE's Programs at ... -
Treatment Planning and Prosthetic Procedures for Single Implant Crowns
CAT# LOD-022-02
Treatment Planning and Prosthetic Procedures for Single Implant Crowns
Dr. Sam Strong
----
CE CREDITS: 2
(EXAM FOR MEMBERS can be requested at [email protected]. For Subject, put "Exam for LOD-022-02")
----
Explore all of gIDE's Programs at gidedental.com
----
... -
Treatment Planning and Prosthetic Procedures for Fixed Restorations on Multiple
CAT# LOD-022-03
Treatment Planning and Prosthetic Procedures for Fixed Restorations on Multiple Implants
Dr. Sam Strong
----
CE CREDITS: 2
(EXAM FOR MEMBERS can be requested at [email protected]. For Subject, put "Exam for LOD-022-03")
----
Explore all of gIDE's Programs at gidede...