CLINICAL VIDEO Custom 3D Titanium Mesh for Guided Bone Regeneration in a Severel
NEW RELEASES
•
7m 12s
CAT# CV-110
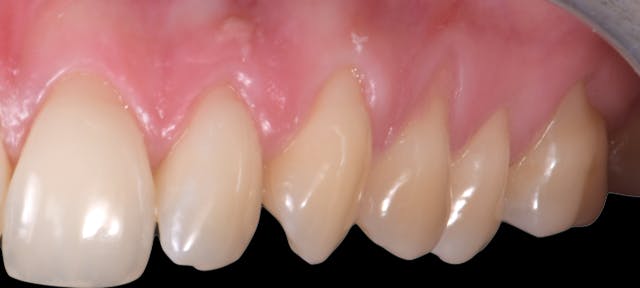
Custom 3D Titanium Mesh for Guided Bone Regeneration in a Severely Resorbed Anterior Ridge
By Dr Christopher Ho
This clinical video by Dr Christopher Ho presents the results of a guided bone regeneration (GBR) procedure with a custom 3D designed and printed titanium mesh covered with a collagen membrane in a severe resorbed upper anterior ridge of 30 year old health female. The clinical procedure shows the clinical steps of a successful horizontal and vertical GBR obtained with a custom 3D printed titanium mesh (Yoxx CBR©) filled with autogenous bone and Xeno bone graft particles and covered by a native collagen membrane. The titanium mesh was removed after 6 months at what time 4 BLT Straumann implants were placed with a simultaneous GBR Contour graft. The 1 year follow-up after implant loading with a fixed screw-retained implant bridge showed stable hard and soft tissue levels with an esthetic and functional result.
----
Explore all of gIDE's Programs at gidedental.com
Up Next in NEW RELEASES
-
CLINICAL VIDEO Immediate 3D Designed ...
CAT# CV-109
Immediate 3D Designed and Printed Implant Temporization at Uncovering of an Anterior Re-Treated Implant Site
By Dr Sascha JovanovicThis clinical video by Dr Sascha Jovanovic presents the results of a novel digital technique to capture the three dimensional position of the implant ...
-
CLINICAL VIDEO Coronally Advanced Fla...
CAT# CV- 108
Coronally Advanced Flap Technique for Gingival Recessions
Dr. Francesco MintroneThe treatment of single or multiple gingival recessions in patients with esthetic demands has been described since the late '80s with growing evidence that the coronally advanced flap technique in combi...
-
Soft Tissue Management around Implant...
CAT# LOD-350-00
Soft Tissue Management around Implant Sites
By Dr. Lorenzo Tavelli
----
Explore all of gIDE's Programs at gidedental.com