-
LIVE GBR Discussion with Dr Sascha Jovanovic & Dr Marco Ronda
LIVE GBR Discussion with Dr Sascha Jovanovic & Dr Marco Ronda
-
Clinical Results | Dr Marco Ronda
324-00_Ronda_Lecture_04_VIDDLER_H264
-
LIVE OFFICE HOURS and Q&A with Dr Sascha Jovanovic
Office_Hours_GBR_Online_Course_20200407
-
LIVE TREATMENT PLANNING SESSION and Q&A | Dr Sascha A Jovanovic
Live_Treatment_Planning_Session_20200421
-
LIVE OFFICE HOURS and Q&A with Dr Sascha Jovanovic & Dr Barry Bartee
Office_Hours_GBR_Online_Course_20200428
-
LIVE OFFICE HOURS and Q&A with Dr Sascha Jovanovic
Office_Hours_GBR_Online_Course_20200331
-
Surgical Predictability | Dr Marco Ronda
323-00_ronda_lecture_03_viddler_h264
-
Benefits of the TR-Membrane in Vertical Ridge Augmentation | Dr da Silva
328-00_silva_video_viddler_h264
-
CLINICAL VIDEO Biological Potential of Hard and Soft Tissues | Jovanovic
CV-63_Jovanovic_Mintrone_Screen_Flow_Output
Biological potential of hard and soft tissue augmentation in a full arch case with vertical GBR, sinus Osteotome, guided implant placement and immediate temporization
-
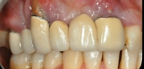
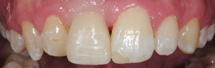
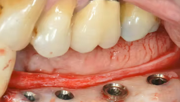
CLINICAL VIDEO Anterior Implant Placement with Simultaneous GBR - Jovanovic
CV-85_Jovanovic_Video_VIDDLER_H264
CLINICAL VIDEO Anterior Implant Placement with Simultaneous GBR using Autogenous/Xenograft and Native Collagen Membrane | Jovanovic
-
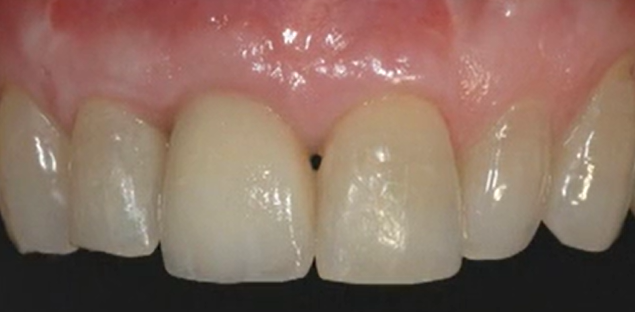
CLINICAL VIDEO Staged Horizontal GBR and Soft Tissue Augmentation | Jovanovic
CV-83_Jovanovic_Video_VIDDLER_H264
CLINICAL VIDEO Staged Horizontal GBR and Soft Tissue Augmentation for Anterior Single Tooth Implant Therapy | Jovanovic
-
CLINICAL VIDEO Staged Horizontal Ridge Augmentation using GBR | Dr Jovanovic
CV-94_Jovanovic_Video_20-0424_CV_Noelle_REWRAP
-
LIVE Q&A with Dr Sascha Jovanovic | Dr Sascha A Jovanovic
Live_Q&A_GBR_Online_Course_20200414
-
CLINICAL VIDEO-How to release the periosteum of the lingual flap forGBR|Rossetti
CV-86_Rossetti_Video_VIDDLER_H264
-
Ridge Augmentation – Decision Tree | Dr Robert Carvalho da Silva
300-00_Silva_Lecture_VIDDLER_H264
-
CLINICAL VIDEO Horizontal Ridge Augmentation in a thin Posterior Mandible
CV-48_Jovanovic_Video_BCOVE_H264
CLINICAL VIDEO Horizontal Ridge Augmentation in a thin Posterior Mandible Using GBR and a Bone Graft Mix of Particulate Autogenous Xenograft and rhPDGF | Jovanovic
-
CLINICAL VIDEO Vertical Augmentation, membrane removal and implant placement | U
CV-25-02_Urban_BCOVE_H264
-
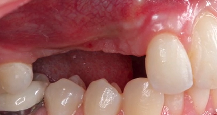
CLINICAL VIDEO Vertical and Horizontal GBR in the Anterior Maxilla | Jovanovic
CV-93_Jovanovic_Video_VIDDLER
CLINICAL VIDEO Vertical and Horizontal GBR in the Anterior Maxilla using an Auto/Xenograft Mixture, PDGF Growth Factor, and d-PTFE Membrane | Jovanovic & Reshad
-
CLINICAL VIDEO Horizontal Augmentation Using Composite Bone Graft and Resorbable
CV-26_Urban_BCOVE_H264
CLINICAL VIDEO Horizontal Augmentation Using Particulated Composite Bone Graft and Resorbable Membrane | Urban
-
CLINICAL VIDEO Vertical Ridge Augmentation: Aesthetic Tissue Augmentation | Simi
CV-60_LCS-03-04_Simion_BCOVE_H264
-
Surgical Approach | Dr Marco Ronda
321-00_Ronda_Lecture_01_VIDDLER_H264
-
A GBR Experience Journey with d-PTFE Membranes | Dr Melle Vroom
295-00_Vroom_Lecture_VIDDLER_H264
-
GBR Guidelines | Dr Marco Ronda
322-00_Ronda_Lecture_02_VIDDLER_H264
-
Implant Placement Post-Extraction in Esthetic Single Tooth Sites-Dr Daniel Buser
289-00_Buser_Lecture_VIDDLER_H264
Implant Placement Post-Extraction in Esthetic Single Tooth Sites – When Immediate, When Early, When Late? | Dr Daniel Buser