Zucchelli, Giovanni
-
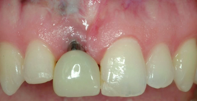
Soft Tissue Management and Esthetic Failure Around Osteointegrated Implants
CAT# LOD-292-00
Soft Tissue Management and Esthetic Failure Around Osteointegrated Implants
Dr. Giovanni Zucchelli
----
CE CREDITS: 1
(EXAM FOR MEMBERS can be requested at [email protected]. For Subject, put "Exam for LOD-292-00")
----
Explore all of gIDE's Programs at gidedental....