Danesh-Meyer, Michael
-
Clinical Solutions with Immediate Function
CAT# LOD-065-00
Clinical Solutions with Immediate Function
Dr. Michael Danesh-Meyer
----
CE CREDITS: 1
(EXAM FOR MEMBERS can be requested at [email protected]. For Subject, put "Exam for LOD-065-00")
----
Explore all of gIDE's Programs at gidedental.com
----
Release Date: 05/2... -
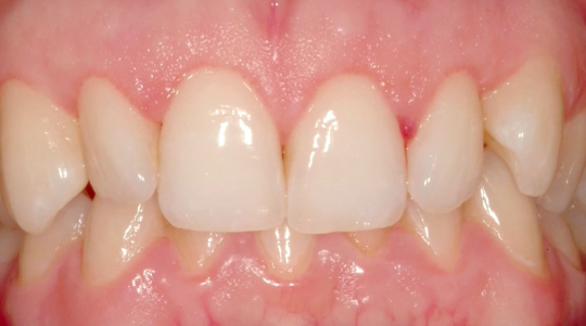
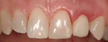
Creating a Framework for the Perfect Smile - Aesthetic Enhancement through Crow
CAT# LOD-291-00
Creating a Framework for the Perfect Smile - Aesthetic Enhancement through Crown Lengthening Surgery
Dr. Michael Danesh-Meyer
----
CE CREDITS: 1
(EXAM FOR MEMBERS can be requested at [email protected]. For Subject, put "Exam for LOD-291-00")
----
Explore all of gID...