Celenza, Frank

Share
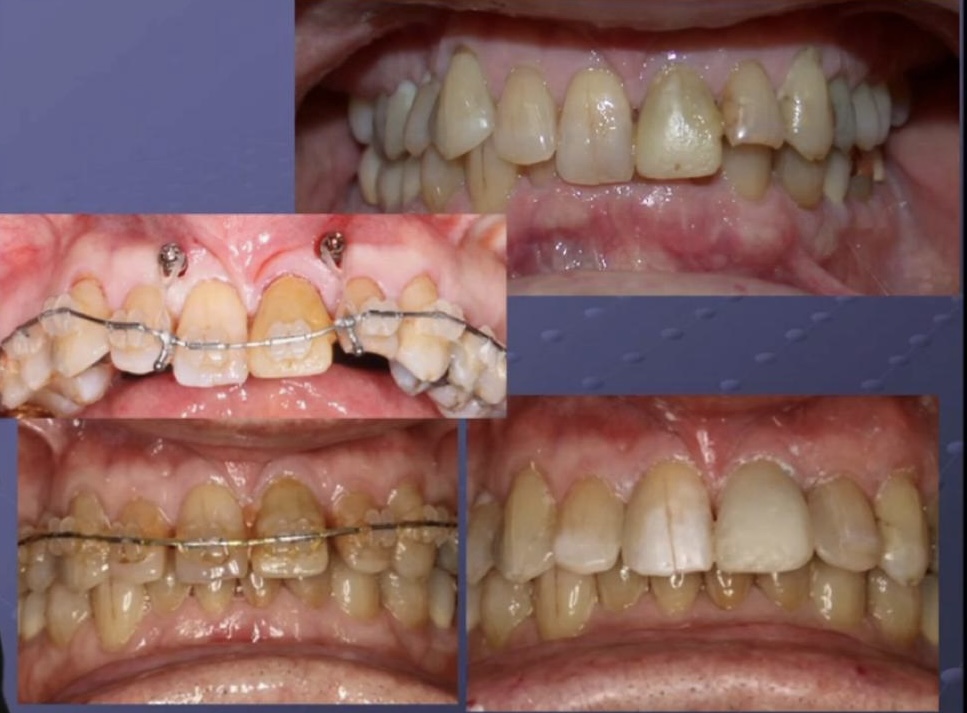
  • Implant Interactions in Orthodontics

    CAT# LOD-113-01
    Implant Interactions in Orthodontics
    Dr. Frank Celenza
    ----
    CE CREDITS: 1
    (EXAM FOR MEMBERS can be requested at [email protected]. For Subject, put "Exam for LOD-113-01")
    ----
    Explore all of gIDE's Programs at gidedental.com

    ----
    Release Date: 03/12/2008
    Revie...

  • Seeking Interdisciplinary Excellence

    CAT# LOD-113-02
    Seeking Interdisciplinary Excellence
    Dr. Frank Celenza
    ----
    CE CREDITS: 1
    (EXAM FOR MEMBERS can be requested at [email protected]. For Subject, put "Exam for LOD-113-02")
    ----
    Explore all of gIDE's Programs at gidedental.com

    ----
    Release Date: 03/12/2008
    Revie...

  • Implant-Assisted Orthodontics: Moving Toward a Better Tomorrow

    CAT# LOD-202-00
    Implant-Assisted Orthodontics: Moving Toward a Better Tomorrow
    Dr. Frank Celenza
    ----
    CE CREDITS: 1
    (EXAM FOR MEMBERS can be requested at [email protected]. For Subject, put "Exam for LOD-202-00")
    ----
    Explore all of gIDE's Programs at gidedental.com

    ----
    Relea...