Carranza, Nelson
-
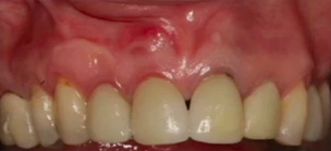
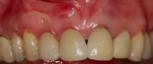
CLINICAL VIDEO Solving a Thin Gingival Biotype in the Upper Anterior with a
CAT# CV-042
Solving a Thin Gingival Biotype in the Upper Anterior with a Connective Tissue Graft and a Pouch Flap Procedure
Dr. Nelson Carranza
----
Explore all of gIDE's Programs at gidedental.com
---
--> also listed as CV-42 -
Oral Plastic Surgery
CAT# LOD-155-00
Oral Plastic Surgery
Dr. Nelson Carranza
----
CE CREDITS: 1
(EXAM FOR MEMBERS can be requested at [email protected]. For Subject, put "Exam for LOD-155-00")
----
Explore all of gIDE's Programs at gidedental.com
----
Release Date: 10/06/2010
Reviewed Date: 01/0... -
Cirugia Plastica Oral (SPANISH LANGUAGE ONLY)
CAT# LOD-156-00
Cirugia Plastica Oral (SPANISH LANGUAGE ONLY)
Dr. Nelson Carranza
----
CE CREDITS: 1
(EXAM FOR MEMBERS can be requested at [email protected]. For Subject, put "Exam for LOD-156-00")
----
Explore all of gIDE's Programs at gidedental.com
----
Release Date: 10/06/... -
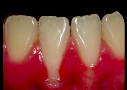
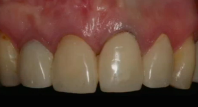
Severe Gingival Recession Treatment with Connective Tissue Grafts
CAT# LOD-274-00
Severe Gingival Recession Treatment with Connective Tissue Grafts
Dr. Nelson Carranza
----
CE CREDITS: 1
(EXAM FOR MEMBERS can be requested at [email protected]. For Subject, put "Exam for LOD-274-00")
----
Explore all of gIDE's Programs at gidedental.com
----
... -
Tratamiento de Recesiones Gingivales Severas con Injertos de Tejido Conectivo
CAT# LOD-277-00
Tratamiento de Recesiones Gingivales Severas con Injertos de Tejido Conectivo (SPANISH LANGUAGE ONLY)
Dr. Nelson Carranza
----
CE CREDITS: 1
(EXAM FOR MEMBERS can be requested at [email protected]. For Subject, put "Exam for LOD-277-00")
----
Explore all of gIDE's ...