Live stream preview

Watch this video and more on gIDE Dental Institute

Watch this video and more on gIDE Dental Institute

Subscribe Learn more

Already subscribed? Sign in

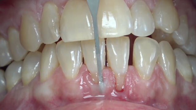
CLINICAL VIDEO Implant Gingival Recession Treated with a Tunneling Procedure and

PERIODONTICS • 9m 23s
4K badge

Up Next in PERIODONTICS

  • CLINICAL VIDEO Root Coverage of 2 Upp...

    CAT# CV-135
    Root Coverage of 2 Upper Premolars with Connective Tissue, Emdogain and a Tunneling Procedure
    by Dr Miles Madison
    ----
    Explore all of gIDE's Programs at gidedental.com

  • CLINICAL VIDEO Tunneling Technique fo...

    CAT# CV-129
    Advanced Tunneling Technique for Treating Dual Lower Gingival Root Recessions
    by Dr. Sergio Kahn
    ----
    Gingival recession, a common periodontal condition characterized by the exposure of tooth roots due to gum tissue loss, poses aesthetic concerns and increases susceptibility to root c...

  • The Complete Digital Workflow - Part ...

    CAT# LOD-358-00
    The Complete Digital Workflow - Part 1: Airway Focused Dentistry
    By Dr Todd Scheyer
    ----
    Explore all of gIDE's Programs at gidedental.com