Live stream preview

Watch this video and more on gIDE Dental Institute

Watch this video and more on gIDE Dental Institute

Subscribe Learn more

Already subscribed? Sign in

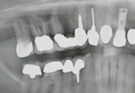
CLINICAL VIDEO All-on-4 Upper Jaw Implant Surgery - Patient consultation, oral e

IMPLANT DENTISTRY • 17m

Up Next in IMPLANT DENTISTRY

  • CLINICAL VIDEO Vertical Ridge Augment...

    CAT# CV-049
    Vertical Ridge Augmentation in the Posterior Mandible using rhBMP-2, Autograft, Xenograft and Titanium Mesh
    Dr. Sascha Jovanovic
    ----
    Explore all of gIDE's Programs at gidedental.com
    ---
    --> also listed as CV-49

  • CLINICAL VIDEO Implant Placement 12 m...

    CAT# CV-048
    Implant Placement 12 months after Horizontal Ridge Augmentation in a thin Posterior Mandible Using GBR and a Bone Graft Mix of Particulate Autogenous Xenograft and rhPDGF - Part 2
    Dr. Sascha Jovanovic
    ----
    Explore all of gIDE's Programs at gidedental.com
    ---
    --> also listed as CV-48

  • CLINICAL VIDEO Zygomatic Implants - T...

    CAT# CV-046
    Zygomatic Implants - Treatment Plan
    Dr. Francesco Mintrone
    ----
    Explore all of gIDE's Programs at gidedental.com
    ---
    --> also listed as CV-46