DIGITAL DENTISTRY
-
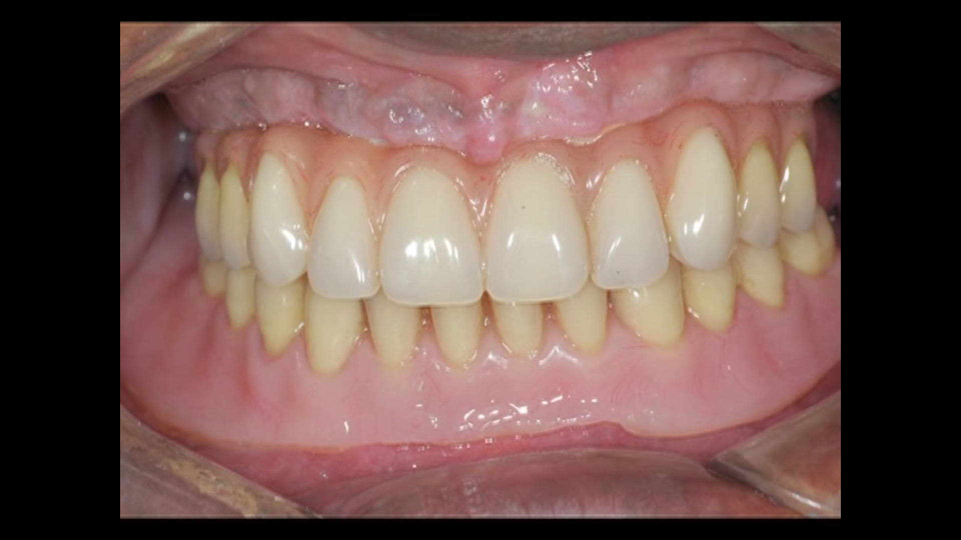
Immediacy - The Next Level
CAT# LOD-361-00
Immediacy - The Next Level
By Dr Wael Att
----
Explore all of gIDE's Programs at gidedental.com -
CLINICAL VIDEO Uncovering and Temporization of 2 Anterior Implants with Mucoging
CAT# CV-131
Uncovering and Temporization of 2 Anterior Implants with Mucogingival Surgery for optimal soft tissue healing
by Dr Sascha A Jovanovic
----
In this dental video by Dr Jovanovic a meticulous procedure involving the uncovering of two anterior implants with a mucogingival technique emplo... -
CLINICAL VIDEO Step-by-Step 3D Printed Sinus Window & Septum Surgical Guide
CAT# CV-130
A Step-by-Step Digital Workflow to Design a 3D Printed Sinus Window and Septum Surgical Guide
by Dr. Natasa Gregoric
----
This clinical video of Dr Gregoric continues her focus on digital Workflow in implant surgery and provides an easy step-by-step demonstration of the workflow (CoD... -
The Complete Digital Workflow - Part 1: Airway Focused Dentistry
CAT# LOD-358-00
The Complete Digital Workflow - Part 1: Airway Focused Dentistry
By Dr Todd Scheyer
----
Explore all of gIDE's Programs at gidedental.com -
The Complete Digital Workflow - Part 2: Temporary Anchorage Devices (TAD)
CAT# LOD-359-00
The Complete Digital Workflow - Part 2: Temporary Anchorage Devices (TAD)
By Dr Todd Scheyer
----
Explore all of gIDE's Programs at gidedental.com -
Predictable Immediacy - Surgical Steps for Optimal Full-Arch Immediate Loading
CAT# LOD-357-00
Predictable Immediacy - Surgical Steps for Optimal Full-Arch Immediate Loading
By Dr Waldemar Polido
----
Explore all of gIDE's Programs at gidedental.com -
Full-Arch Scanning for All-on-X Rehabilitation
CAT# LOD-356-00
Full-Arch Scanning for All-on-X Rehabilitation
By Dr Panos Papaspyridakos
----
Explore all of gIDE's Programs at gidedental.com -
CLINICAL VIDEO Guided Immediate Implant with Immediate Definitive Crown
CAT# CV-118
Guided Immediate Implant with Immediate Definitive Crown
By Dr Glen Liddelow & Dr Graham Carmichael
----
Explore all of gIDE's Programs at gidedental.com -
CLINICAL VIDEO Stackable Guides for a Full Arch BLX Implant Case with an Immedia
CAT# CV-117
The Use of Stackable Guides for a Full Arch Treatment with 4 BLX Implants and an Immediate Printed Hybrid Prosthesis
by Dr. Sascha A. Jovanovic
----
Full-arch fixed implant treatment on 4 to 6 implants has shown predictable long term success with submerged, one-stage and immediate loa... -
CLINICAL VIDEO How to make a surgical guide in CDX and provisionals in Cares
CAT# CV-115
How to make a surgical guide in CDX and provisionals in Cares
by Dr. Natasa Gregoric
----
Explore all of gIDE's Programs at gidedental.com -
CLINICAL VIDEO How to make models in CDX
CAT# CV-116
How to make models in CDX
by Dr. Natasa Gregoric
----
Explore all of gIDE's Programs at gidedental.com -
CLINICAL VIDEO Immediate 3D Designed and Printed Implant Temporization at
CAT# CV-109
Immediate 3D Designed and Printed Implant Temporization at Uncovering of an Anterior Re-Treated Implant Site
By Dr Sascha JovanovicThis clinical video by Dr Sascha Jovanovic presents the results of a novel digital technique to capture the three dimensional position of the implant ...
-
Treatment Planning in the Digital Era - Digital Patient Concept
CAT# LOD-353-00
Treatment Planning in the Digital Era - Digital Patient Concept
Dr. Francesco Mintrone
----
Explore all of gIDE's Programs at gidedental.com -
CLINICAL VIDEO Implant placement with digital planning, hard and soft tissue gra
CAT# CVL-318-001
Implant placement with digital planning, hard and soft tissue grafting and immediate temporization
Authors Luc Rutten MDT and Dr. France Lambert
----
Explore all of gIDE's Programs at gidedental.com -
CLINICAL VIDEO Treatment of the edentulous upper jaw with CT-based NobelGuide so
CAT# CV-006
Treatment of the edentulous upper jaw with CT-based NobelGuide solution, All-on-4 implant placement and immediate prostheses insertion
Dr. James Chow
----
Explore all of gIDE's Programs at gidedental.com
---
--> also listed as CV-06 -
Advantages of new digital technologies in prosthetic dentistry
CAT# LOD-340-00
Advantages of the New Technologies in Prosthetic Dentistry
Dr. Francesco Mintrone
----
Explore all of gIDE's Programs at gidedental.com -
CLINICAL VIDEO Full Arch Immediate Implant Treatment with 3D Printed Hybrid Pros
CAT# CV-102
Full Arch Immediate Implant Treatment with 4 BLX Straumann Implants with 3D Printed Hybrid Prostheses in a Failed Lower Dentition Case
Dr. Sascha A. Jovanovic
----
Explore all of gIDE's Programs at gidedental.com -
CLINICAL VIDEO Extraction Management in the Esthetic Zone using Socket Shield
CAT# CV-096
Extraction Management in the Esthetic Zone using the Socket Shield Technique
By Dr Francesco Mintrone
----
Explore all of gIDE's Programs at gidedental.com
---
--> also listed as CV-96 -
Digital Photography
CAT# LOD-003-11
Digital Photography
Dr. Brian P. LeSage
----
CE CREDITS: 2
(EXAM FOR MEMBERS can be requested at [email protected]. For Subject, put "Exam for LOD-003-11")
----
Explore all of gIDE's Programs at gidedental.com
----
Release Date: 11/14/2005
Reviewed Date: 01/03... -
Digitizing Your Practice
CAT# LOD-062-00
Digitizing Your Practice
Dr. Lorne Lavine
----
CE CREDITS: 2
(EXAM FOR MEMBERS can be requested at [email protected]. For Subject, put "Exam for LOD-062-00")
----
Explore all of gIDE's Programs at gidedental.com
----
Release Date: 04/26/2007
Reviewed Date: 01/... -
CAD/CAM Fabricated Complete Dentures: From Concept to Reality
CAT# LOD-214-00
CAD/CAM Fabricated Complete Dentures: From Concept to Reality
Dr. Charles J. Goodacre
----
CE CREDITS: 1
(EXAM FOR MEMBERS can be requested at [email protected]. For Subject, put "Exam for LOD-214-00")
----
Explore all of gIDE's Programs at gidedental.com
----
... -
Delivery of Immediate Final Restorations at the Time of Implant Surgery - A Com
CAT#LOD-239-00
Delivery of Immediate Final Restorations at the Time of Implant Surgery - A Comprehensive Digital Approach to Implant Dentistry
Dr. Siamak Abai
----
CE CREDITS: 1
(EXAM FOR MEMBERS can be requested at [email protected]. For Subject, put "Exam for LOD-239-00")
----
E... -
Full Digital Workflow - What has Changed? What will change?
CAT# LOD-293-00
Full Digital Workflow - What has Changed? What will change?
Dr. Roland Glauser
----
CE CREDITS: 1
(EXAM FOR MEMBERS can be requested at [email protected]. For Subject, put "Exam for LOD-293-00")
----
Explore all of gIDE's Programs at gidedental.com
----
Release... -
New Paradigms in Digital Dentistry: Digital Patient Concept
CAT# LOD-308-00
New Paradigms in Digital Dentistry: Digital Patient Concept
Dr. Francesco Mintrone
----
CE CREDITS: 1
(EXAM FOR MEMBERS can be requested at [email protected]. For Subject, put "Exam for LOD-308-00")
----
Explore all of gIDE's Programs at gidedental.com